Diş Etinde Şişlik İçin Neler Yapılabilir?
Diş eti şişliği, ağız sağlığını olumsuz etkileyen yaygın bir sorundur. Bu durumun nedenleri, belirtileri ve evde uygulanabilecek ilk yardım yöntemleri hakkında bilgi verecektir. Ayrıca, profesyonel tedavi seçenekleri ve önleyici tedbirler de ele alınarak diş eti sağlığının korunmasına yönelik önemli ipuçları sunulacaktır.
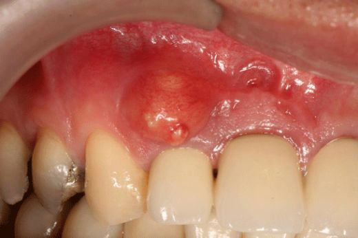
Diş eti şişliği, bireylerin ağız sağlığı üzerinde önemli etkiler yaratabilen yaygın bir durumdur. Diş etlerinde meydana gelen şişlik, genellikle iltihaplanma, enfeksiyon veya diş eti hastalıkları gibi faktörlerden kaynaklanır. Ağız hijyenine dikkat edilmediğinde, bu durum diş kaybına ve diğer ciddi sağlık sorunlarına yol açabilir. Bu makalede, diş etinde şişlik durumunda neler yapılabileceği detaylı bir şekilde ele alınacaktır. Diş Eti Şişliğinin Nedenleri Diş eti şişliğinin birçok potansiyel nedeni vardır. Bu nedenlerden bazıları şunlardır:
Belirtiler Diş eti şişliğinin belirtileri, durumun ciddiyetine göre değişiklik gösterebilir. Genel olarak görülen belirtiler şunlardır:
Evde Uygulanabilecek İlk Yardım Yöntemleri Diş eti şişliği durumunda, evde uygulanabilecek bazı ilk yardım yöntemleri bulunmaktadır:
Profesyonel Tedavi Seçenekleri Eğer diş eti şişliği evde uygulanan yöntemlerle geçmiyorsa, mutlaka bir diş hekimine başvurulması gerekir. Diş hekimi, duruma göre şu tedavi seçeneklerini sunabilir:
Önleyici Tedbirler Diş eti şişliğini önlemek için alınabilecek bazı tedbirler şunlardır:
Sonuç Diş eti şişliği, genellikle tedavi edilebilir bir durumdur. Ancak, ihmal edilmesi durumunda ciddi sağlık sorunlarına yol açabilir. Ağız hijyenine dikkat etmek ve düzenli diş hekimi kontrolleri yaptırmak, diş eti sağlığını korumak için son derece önemlidir. Eğer diş eti şişliği gibi bir durumla karşılaşırsanız, evde uygulanabilecek basit yöntemlerin yanı sıra profesyonel yardım almak da önemlidir. Unutmayın ki, sağlıklı diş etleri sağlıklı bir yaşamın temel taşlarından biridir. |






































Dişim de çürük olmamasına rağmen diş üstünde ki damakta et şişme yaptı. Hem ağrı yapıyor hem şişkinlik rahatsızlık veriyor bu durumun diş ile ilgisi var mı ve
Safiye hanım, bu tür bir şişlik ve ağrı, diş kökü enfeksiyonu veya periodontal hastalık gibi dişle ilgili bir sorunun işareti olabilir. Kesin bir teşhis ve uygun tedavi için bir diş hekimine başvurmanızı tavsiye ederim. Geçmiş olsun.